Rétraction gingivale rapide et simple
Rétraction gingivale
One-Stop™ est un agent pré-empreinte topique sous forme de pâte qui assure la rétraction gingivale.
Caractéristiques
- Contient du chlorure d’aluminium
- L’application uniforme de la pâte garantit une excellente adhérence et dispersion sur la muqueuse
- Réduction de l’inconfort, rinçage rapide et propre
Applications
- Rétraction gingivale avant la prise d’empreint
- Contrôle des saignements pendant la préparation des couronnes et des bridges
- Gestion de l’humidité avant le collage ou le scellemen
- Gestion gingivale pour les restaurations de classe II et V
- Déplacement gingival temporaire pour améliorer la visibilité clinique
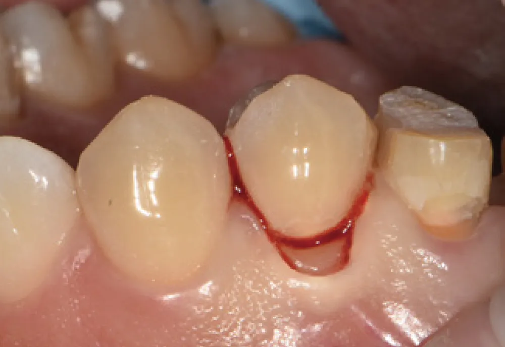
Dr. Min-Sik Choi
Cas clinique

1
Avant le traitement

2
Appliquez One-Stop™ puis séchez

3
Après le traitement
Mode d’emploi

1
Saignement

2
Appliquer (2 min)

3
Rincer, sécher
Rétraction gingivale·Agent pré-empreinte topique·Chlorure d’aluminium·
Rétraction gingivale·Agent pré-empreinte topique·Chlorure d’aluminium·Rétraction gingivale·Agent pré-empreinte topique·Chlorure d’aluminium·Rétraction gingivale·Agent pré-empreinte topique·Chlorure d’aluminium·
Rétraction gingivale·Agent pré-empreinte topique·Chlorure d’aluminium·Rétraction gingivale·Agent pré-empreinte topique·Chlorure d’aluminium·Rétraction gingivale·Agent pré-empreinte topique·Chlorure d’aluminium·

