Matériau biocéramique prêt à l’emploi
Matériau biocéramique polyvalent à base de silicate de calcium
One-Fil® Putty Injectable est un matériau définitif de substitution de la pulpe et de la dentine à base d’aluminate tricalcique prémélangé qui fournit un environnement biocompatible optimal pour tout type de traitement endodontique.
Caractéristiques
- Biocompatible et bioatif
- Étanchéité parfaite - Antibactérien
- Haute stabilité dimensionnelle
Indiqué pour :
- Coiffage direct / indirect de la pulpe
- Pulpotomie
- Réparation de perforation
- Revascularisation de la pulpe
- Apexification
- Obturation radiculaire
Mécanisme d’hydratation
Le silicate de calcium mélangé avec H2O (eau) produit du silicate alumino-calcique (C-A-H GEL) et du silicate de calcium hydraté (C-S-H GEL).
Le pH élevé (pH 12,7) permet d’éliminer les bactéries.
Excellente radiopacité
Le spécimen montre une excellente radiopacité à 10,81 mm d'aluminium.
Temps de prise
• 30 minutes dans des conditions classiques
• 2 à 3 minutes en appliquant une gaze humide
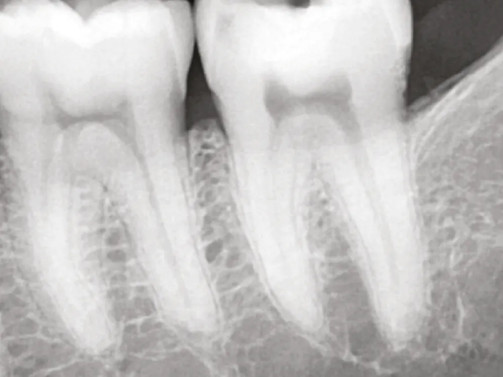
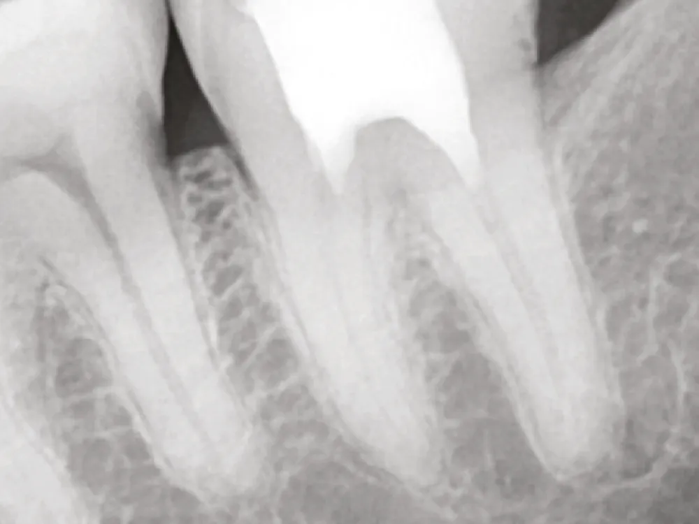
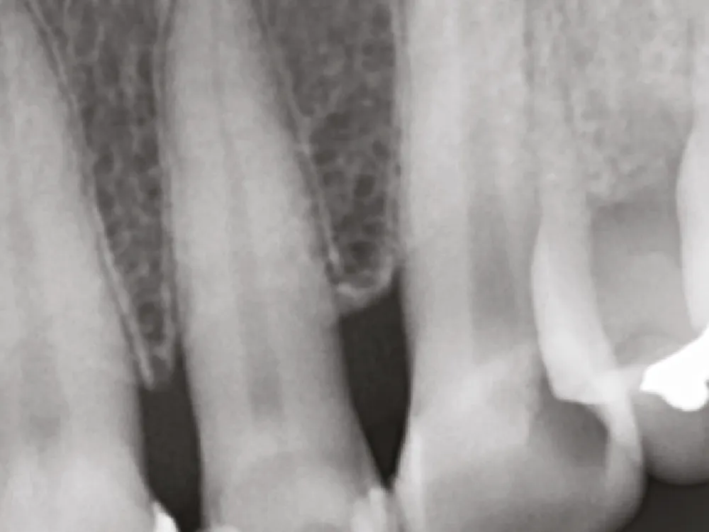
Cas clinique
Dr. Dae-Hoi Koo

1
Avant le traitement

2
Application du One-Fil Putty Injectable

3
Après le traitement
Cas clinique
Dr. Ju-Kyung Lee

1
Avant le traitement

2
Application du One-Fil Putty Injectable

3
Après le traitement
Biocompatible et bioatif·Étanchéité parfaite - Antibactérien·Haute stabilité dimensionnelle·
Biocompatible et bioatif·Étanchéité parfaite - Antibactérien·Haute stabilité dimensionnelle·Biocompatible et bioatif·Étanchéité parfaite - Antibactérien·Haute stabilité dimensionnelle·Biocompatible et bioatif·Étanchéité parfaite - Antibactérien·Haute stabilité dimensionnelle·
Biocompatible et bioatif·Étanchéité parfaite - Antibactérien·Haute stabilité dimensionnelle·Biocompatible et bioatif·Étanchéité parfaite - Antibactérien·Haute stabilité dimensionnelle·Biocompatible et bioatif·Étanchéité parfaite - Antibactérien·Haute stabilité dimensionnelle·

