Ciment canalaire biocéramique prêt à l’emploi
Matériau biocéramique à base de silicate de calcium pour l’obturation définitive des canaux radiculaires
One-Fil est un matériau à base de silicate de calcium qui fournit un environnement biocompatible optimal pour le scellement définitif des canaux radiculaires.
Caractéristiques
- Mise en œuvre rapide et simplifié
- Étanchéité parfaite
- Action bactéricide grâce à son pH élevé
- Reprise de traitement possible si besoin
- Aucun risque si dépassement à l’apex (biocompatible)
- Excellente stabilité dimensionnelle
Mécanisme d’hydratation
Le silicate de calcium mélangé avec H2O (eau) produit du silicate alumino-calcique (C-A-H GEL) et du silicate de calcium hydraté (C-S-H GEL).
Le pH élevé (pH 13,2) permet d’éliminer les bactéries présentes dans le canal radiculaire.
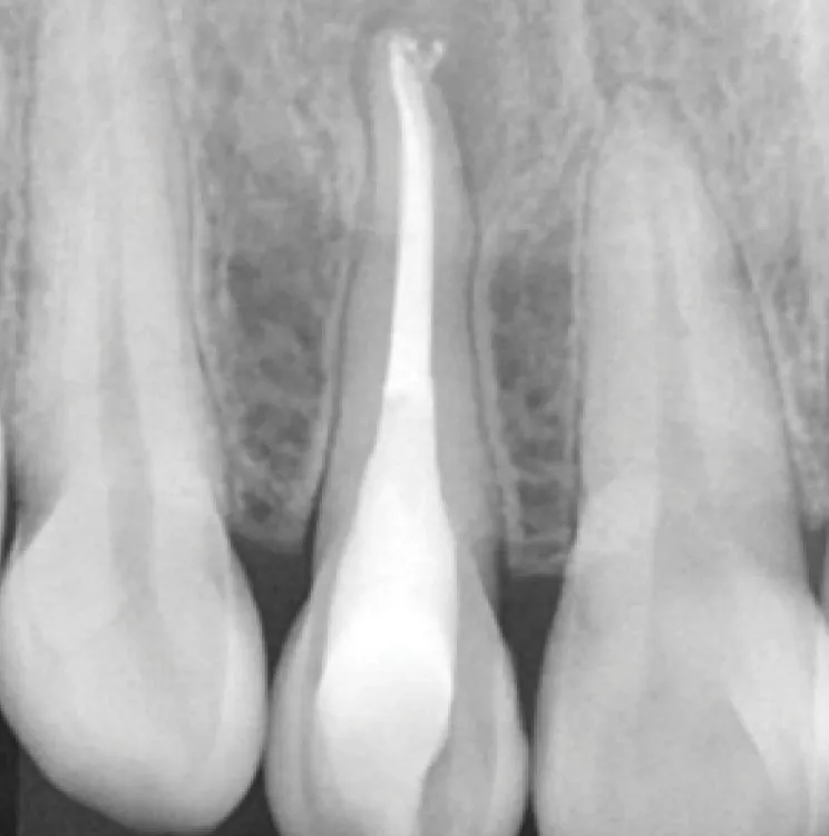
Excellente radiopacité
Le spécimen montre une excellente radiopacité à 9 mm d'aluminium.
Temps de prise
• 30 min dans des conditions d’humidité à 100% (selon la norme ISO 6876:2012)
• 2h30 heures dans un canal radiculaire normal
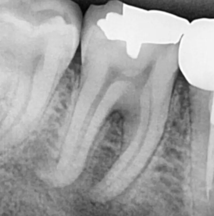
Cas clinique
Résultats clinique

1
Avant le traitement

2
Après le traitement

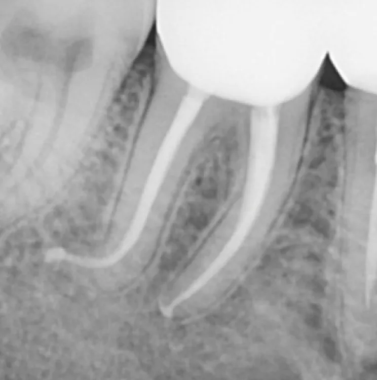
3
15 mois plus tard
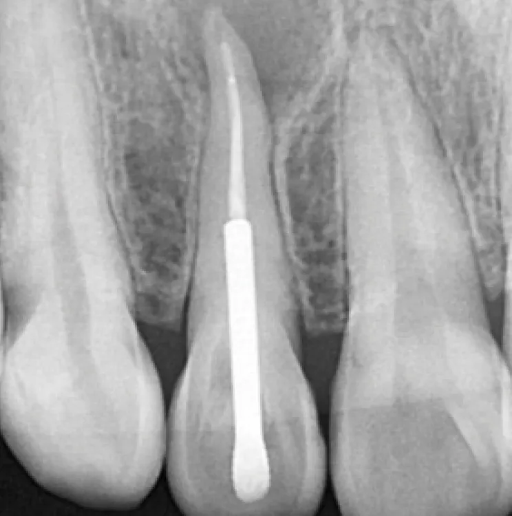
Cas clinique
Résultats clinique

1
Avant le traitement

2
Après le traitement

3
3 mois plus tard
Biocompatible et bioatif·Étanchéité parfaite - Antibactérien·Haute stabilité dimensionnelle·
Biocompatible et bioatif·Étanchéité parfaite - Antibactérien·Haute stabilité dimensionnelle·Biocompatible et bioatif·Étanchéité parfaite - Antibactérien·Haute stabilité dimensionnelle·Biocompatible et bioatif·Étanchéité parfaite - Antibactérien·Haute stabilité dimensionnelle·
Biocompatible et bioatif·Étanchéité parfaite - Antibactérien·Haute stabilité dimensionnelle·Biocompatible et bioatif·Étanchéité parfaite - Antibactérien·Haute stabilité dimensionnelle·Biocompatible et bioatif·Étanchéité parfaite - Antibactérien·Haute stabilité dimensionnelle·
Commander le produit
Références
508-1 41 seringue de 2g + 10 embouts
508-2 1 seringue de 0,5g + 5 embout
1001-2 20 aiguilles malléables
D.110.001.08 20 embouts souples

